
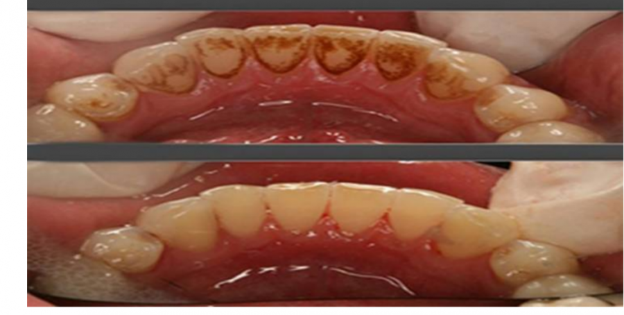
صبا.نت-يحلم الكثير بإمتلاك أسنان جميلة خاصة من يعانون مشاكل في أسنانهم ومن لديهم تكلس جير فيها، فامتلاك صف من الأسنان الجميلة هو دليل ملحوظ وملموس على الصحة الجيدة فصحة الأسنان والفم هو دليل قاطع على قوة مناعة الجسم ضد العديد من الأمراض.
لذلك من المهم عدم إهمال الاعتناء بجمال ونظافة الفم والأسنان مهما كانت الظروف، ولكن للأسف مع الأكلات المتواجدة في عالمنا اليوم نجد مشاكل كثير لا تحصى تتسبب في تعرض صحة وجمال الأسنان إلى الإصابة بأمراض لهذا السبب إليكم وصفة بسيطة وسهلة لإزالة كل تكلسات الجير بدون اللجوء لأي طبيب.
مكونات الوصفة السحرية والمدهشة لإزالة تكلسات الجير من الأسنان.
1-غسول فم معقم جيدا
2-اعواد أسنان
3-ماء أكسجين
4-فرشاة أسنان نظيفة
5-كوب ماء ساخن
6-ملعقة كبيرة الحجم من بيكربونات الصوديوم
2-ملعقة صغيرة من الملح
طريقة التحضير والاستعمال:
1- نقوم بمزج الملعقة كبير الحجم من بيكربونات الصوديوم مع الملعقة الصغيرة من الملح ليصبح مزيج
2-نقوم بغطس فرشاة الأسنان في مزيج الملح مع بيكربونات الصوديوم ثم نقوم بفرك الأسنان بكل لطف وعناية لمدة 5 دقائق واحرصوا على فرق الأسنان بكل لطف خصوصا من لديهم مشاكل النزيف في اللثة.
3-نقوم بمزج ماء الأكسجين مع كوب الماء الدافىء وتتغرغر به لمدة دقيقة ونصف ثم بعد ذلك نقوم بغسله بالماء البارد.
4-بعد استخدام هذه الوصفة سوف تلاحظ اختفاء تكلسات الجير في أسنانكم ولكن للحفاظ على جماله باستمرار حتى لا تصاب أسنانكم مرة أخرى بتكلسات الجير نستعمل غسول الفم المعقم بعد هذه العملية كلما أمكنكم.
21/09/2016 23:51 1,401

.jpg)





